Gratuit, la Spitalul Victor Babeş din Timişoara! Investigaţia care ajută la depistarea din timp, a unor probleme grave ale tractului urinar

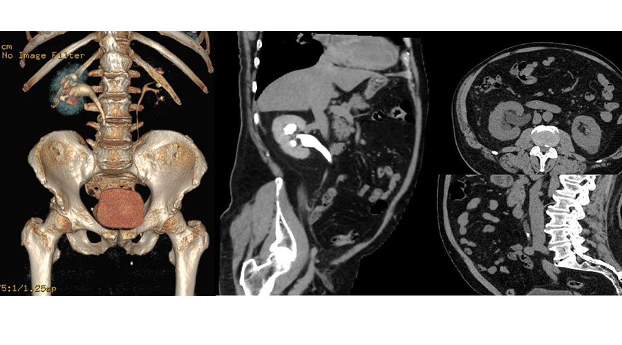
URO-CT sau urografia prin tomografie computerizată este o investigație medicală imagistică folosită pentru a evalua tractul urinar al unei persoane.
Tractul urinar include rinichii, ureterele (tuburile care transportă urina de la rinichi la vezică) și vezica urinară.
Realizarea unei asemenea evaluări imagistice se recomandă în cazul unor afecțiuni precum: litiaza renală (pietre la rinichi), hematurie (sânge în urină), suspiciunea unor formațiuni tumorale, anomalii congenitale sau diverse probleme ale vezicii urinare.
„URO-CT-ul este considerat o evaluare superioară față de urografia clasică, deoarece oferă imagini mai detaliate și poate detecta o gamă mai largă de afecțiuni. Investigația folosește o combinație de raze X pentru a genera imagini în secțiune ale rinichilor, ureterelor și vezicii urinare. Procedura este non invazivă, iar rezultatele se pot obține foarte repede, ceea ce permite începerea unui potențial tratament într-un interval de timp foarte scurt. Pentru a capta imagini și mai clare, se utilizează, de obicei, o substanță de contrast iodată, care este injectată în venă înaintea scanării”, spune asist. univ. Emil Stoicescu – Radiologie si imagistică medicală – Spitalul Victor Babeș Timișoara.
Pregătirea pacientului pentru realizarea URO-CT-ului implică îndeplinirea mai multor condiții.
În primul rând, se recomandă evitarea consumului de alimente solide cu 4-6 ore înainte de realizarea investigației, restricționarea consumului de lichide.
Pe de altă parte, este importantă menținerea plină a vezicii urinare înainte de această procedură.
De asemenea, se vor face recomandări privind purtarea unor haine confortabile, fără elemente metalice.
În cazul pacienților cu diabet este necesară ajustarea dozei de insulină sau a medicației antidiabetice, conform indicațiilor medicului, iar la pacienții cu afecțiuni renale este importantă evaluarea prealabilă a funcției renale prin analize de laborator.
Nu în ultimul rând, pacienții cu alergii vor trebui să informeze medicul cu privire la contraindicațiile la medicamente, substanța de contrast (iod) sau alte produse.
„Este important de menționat că, înainte de a efectua o tomografie computerizată urologică, se vor lua în considerare factorii individuali ai pacientului, inclusiv istoricul medical, simptomele, dar și alte investigații anterioare. Imaginile obținute prin URO-CT furnizează informații legate de extinderea și localizarea precisă a unei afecțiuni, ceea ce permite stabilirea unui plan terapeutic pentru fiecare pacient în parte. De exemplu, în cazul pietrelor la rinichi, dimensiunea și localizarea acestora pot influența decizia cu privire la intervenția chirurgicală sau la alte metode de tratament. De asemenea, cu ajutorul acestui screening poate fi apreciată si calculată densitatea calculului reno-urinar. Datorită capacității sale de a evidenția chiar și cele mai mici modificări ale țesuturilor și structurilor anatomice, URO-CT-ul poate contribui la detectarea precoce a afecțiunilor urologice”, mai spune spune asist. univ. Emil Stoicescu.
Investigația de tip URO-CT, care este gratuită în baza unui bilet de trimitere de la medicul specialist, se poate efectua în Ambulatoriul din cadrul Spitalului Clinic de Boli Infecțioase și Pneumoftiziologie „Dr. Victor Babeș” Timișoara.
CITEŞTE ŞI: Liviu Ivasuc s-a despărţit de Banat Girls Comlosu Mare
Distribuie pe rețele de socializare
Alte articole
Porți deschise la Opera Națională din Timișoara! Descoperă spațiile de dincolo de scenă, prin tururi ghidate, dar și secrete din spatele producțiilor
Opera Națională Română din Timișoara invită publicul larg să descopere universul fascinant al teatrului liric, cu ocazia Zilei porților deschise. Sursa de Vest See Full Bio

Tinerii din Timișoara, invitați să-și descopere direcția în carieră, la BRIDGE, un eveniment organizat de AISEC
Într-un context în care schimbările rapide ale pieței muncii fac alegerea unei cariere tot mai dificilă, AIESEC în Timișoara organizează evenimentul BRIDGE, dedicat tinerilor. Sursa de Vest See Full Bio

Grindeanu, tranșant după întâlnirea regională de la Timișoara! Lucrurile nu mai pot continua așa!
PSD a încheiat astăzi, seria întâlnirilor regionale pe tema direcției în care va merge partidul în continuare. Practic liderii locali au fost consultați dacă trebuie sau nu să rămână la guvernare. Sursa de Vest See Full Bio

Călin Dobra câștigă definitiv procesul cu fostul primar, Claudiu Buciu! Probele care au cântărit greu, în decizia magistraților
Primarul municipiului Lugoj, Călin Dobra, a câștigat definitiv procesul deschis fostului edil, Claudiu Buciu, într-un dosar privind prejudicierea imaginii și reputației. Sursa de Vest See Full Bio

CCIA Timiș sprijină mediul de afaceri în adaptarea la noile reglementări fiscale din 2026!
Camera de Comerț, Industrie și Agricultură Timiș organizează în data de 29 aprilie, ora 10.00, un seminar interactiv dedicat celor mai recente schimbări fiscale cu impact asupra activității agenților economici în anul 2026. Sursa de Vest See Full Bio

Atenție, șoferi! Mai multe locuri de parcare devin indisponibile temporar! Se curăță străzile orașului
Primăria Timișoara anunță reluarea programului „Curățenia până la bordură”. Astfel, utilajele SaluT vor efectua operațiuni de măturat mecanizat și spălare a carosabilului, inclusiv în zona marginală a acestuia, unde sunt amenajate locurile de parcare. Sursa de Vest See Full Bio
VIDEO: Doi samsari imobiliari din PSD dau lovitura pe piața imobiliară. Tranzacția dubioasă care îl leagă pe Alfred Simonis de Raimond Rusu, primarul controversat din Becicherecu Mic
Aproape 3 hectare de teren intravilan, parcelat și poziționat în comuna Sânandrei, la drumul județean, au fost cumpărate la un preț de doar 11 euro pe metru pătrat. De șapte ori sub nivelul pieței. Sursa de Vest See Full Bio
Banatul, între gastronomie și marketing politic din bani publici! Alfred Simonis gătește și servește manipularea cu succes
În politica locală, există două tipuri de proiecte: cele care schimbă realitatea și cele care schimbă percepția asupra ei. Sursa de Vest See Full Bio
Vaporașele de pe Bega vor circula în continuare pe traseu restrâns! Anunțul STPT
Societatea de Transport Public Timișoara anunță prelungirea modificării temporare a circulației vaporetto, ca urmare a lucrărilor de reabilitare la Podul Iuliu Maniu, cunoscut ca Podul Muncii. Sursa de Vest See Full Bio

Concedieri la Primăria Ghiroda! Se face redimensionarea aparatului administrativ, în baza ordonanței Guvernului
Un val de concedieri a fost aprobat în administrația locală din Ghiroda, după ce Consiliul Local a decis reducerea aparatului administrativ al primăriei. Sursa de Vest See Full Bio

Bărbat, amenințat cu un briceag și jefuit, în stradă! Banditul era chiar partenerul de pahar
Un bărbat în vârstă de 49 de ani, a cerut ajutor polițiștilor după ce a fost tâlhărit. Sursa de Vest See Full Bio
Diagnostic, tratament și monitorizare la Clinica de Hematologie a Spitalului Clinic Municipal de Urgență Timișoara
Ziua Internațională a Hemofiliei, marcată anual în 17 aprilie, aduce în prim-plan o realitate îngrijorătoare: la nivel global, un număr semnificativ de persoane care suferă de această boală rămân nediagnosticate și, implicit, netratate. Sursa de Vest See Full Bio
Un nou tronson de cale ferată modernizată, deschis între Lugoj și Timișoara Est
Circulația feroviară s-a deschids pe un nou segment modernizat, în lungime de aproape 10 kilometri, pe raza Sucursalei Regionale de Căi Ferate Timișoara. Sursa de Vest See Full Bio

Mesaj alarmant pe social media! O persoană anunță că strânge fonduri pentru asasinarea președintelui Nicușor Dan! Polițiștii au deschis o anchetă
Anchetă în desfășurare la această oră, după ce, pe o rețea de socializare, a apărut o postare alarmantă, care instigă la violență asupra unui demnitar public. Sursa de Vest See Full Bio
Un nou pod educațional, între Timișoara și Paris! UVT și Sorbonne Nouvelle au semnat o convenție de colaborare științifică și pedagogică
Un parteneriat academic a fost oficializat între Universitatea de Vest din Timișoara și Université Sorbonne Nouvelle, marcând un pas important în consolidarea cooperării internaționale în domeniul educației și cercetării. Sursa de Vest See Full Bio

CCIAT lansează un nou curs gratuit de „Expert dezvoltare durabilă”, prin proiectul „Evoluția Tehnologiilor Rapide = Evoluția Carierei Angajaților din Regiunea Vest!”
Camera de Comerț, Industrie și Agricultură Timiș în calitate de beneficiar și Expert Business Center SRL, partener, anunță demararea unei noi serii a cursului GRATUIT de EXPERT DEZVOLTARE DURABILĂ, derulat în cadrul Proiectului ”Evoluția Tehnologiilor Rapide = Evoluția Carierei Angajaților din Regiunea Vest!, ID 317710, cofinanțate din Fondul Social European Plus prin Programul Educație și […]

Bijuterii pe patru roți, care au trecut testul timpului, la Retroparada Primăverii! Mașinile de epocă vor fi expuse în Piața Unirii
Retroparadei Primăverii, unul dintre cele mai apreciate evenimente de către public, revine la Timișoara! Sursa de Vest See Full Bio

Guvernul dă undă verde proiectului „SMART SPO” pentru piața muncii din România!
Guvernul a adoptat hotărârea privind modernizarea Agenției Naționale pentru Ocuparea Forței de Muncă, în cadrul unui amplu proces de transformare instituțională care vizează digitalizarea și eficientizarea serviciilor publice de ocupare. Sursa de Vest See Full Bio








Lasă un răspuns